Los objetos más espeluznantes que se han encontrado en un estómago humano
Categorias: Salud y Medicina
Por Pictolic https://mail.pictolic.com/es/article/los-objetos-ms-espeluznantes-que-se-han-encontrado-en-un-estmago-humano.htmlTodo el mundo ha escuchado y conoce las terribles historias de que una persona puede accidentalmente o incluso tragar voluntariamente objetos que no están destinados para esto en absoluto. En la mayoría de los casos, estas historias se cuentan sobre niños, pero demostraremos que los adultos también han hecho su contribución, y una contribución considerable.
Estos son solo algunos ejemplos de las cosas que se han encontrado en el estómago humano.


Una mujer en China se tragó 20 piezas de piedras. Preguntar por qué? Ella había peleado con su novio, y le parecía la única manera segura de terminar la noche.

Sí, tragar cubiertos es un placer caro. ¿Qué hay de las 78 cucharas de plata que una mujer de 52 años se tragó en los Países Bajos?

A man came to one of the Chinese hospitals with complaints of abdominal pain. Los médicos tomaron una radiografía y encontraron una botella de vidrio en el estómago.

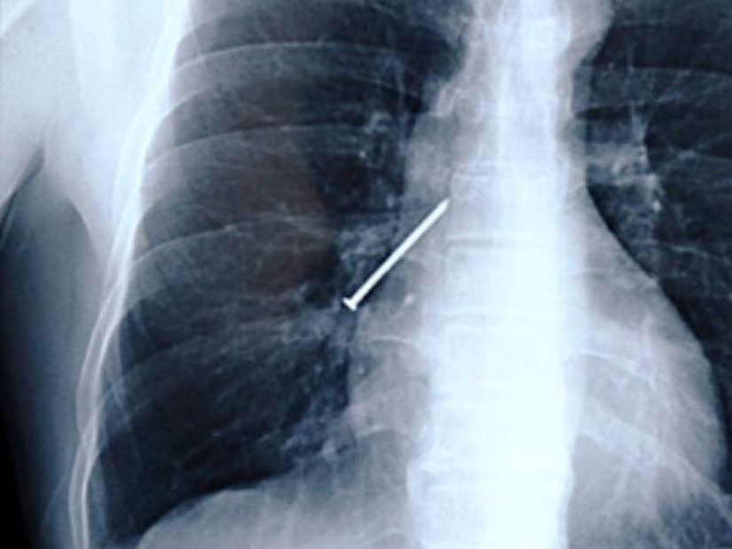
¿Alguna vez has tenido un clavo en los dientes cuando tus manos están ocupadas con un martillo? Aquí hay una foto de un hombre de China que tosió mientras trabajaba.

Te lo advertimos, no mires si acabas de sentarte a almorzar. Una vez, a una niña de 18 años se le quitó un trozo de lana que pesaba 4,5 kg del estómago.

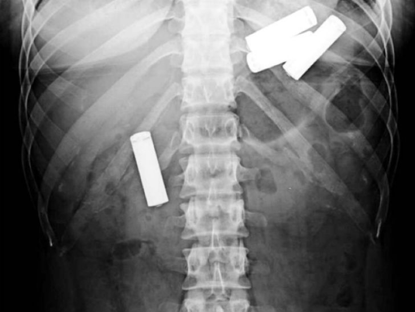
Aquí, tal vez, solo los niños tragan baterías. Radiografía de un bebé de 13 meses.

El francés Michel Lotito se hizo famoso por comer objetos no comestibles, incluso fue llamado Monsieur Eat Everything. Su dieta incluía alas de avión, bicicletas, carritos de supermercado, televisores y mucho más.

Rayos X del terrorista-se tragó una granada. Sin embargo, no está claro cómo iba a volarlo…

Un niño pequeño se comió una parte de un juguete con un imán a la vez. Cuando por fin todas las partes del juguete estaban en el estómago del niño, se conectaron.

Y esta es la foto de un hombre que ingirió una cantidad considerable de drogas para traficarlas a través de la frontera.

Algunos presos están dispuestos a tragar cualquier cosa para salir de la cárcel, por ejemplo, al hospital, incluso los resortes del colchón.

Ahora no sorprenderás a nadie con un plato de anguila. Pero no todo el mundo está listo para comerlo mientras todavía está vivo y en movimiento.

Padres, presten más atención a sus hijos. Después de todo, pueden tragar cualquier cosa que tenga a mano, incluso un alfiler de seguridad.

Muchos hombres quieren ser románticos y hacer una oferta a su mitad de alguna manera inusual. Y muchas personas utilizan, por ejemplo, la comida para ocultar una sorpresa en forma de un anillo allí. Así que, hombres, hagan una oferta antes de que su prometida decida probar este plato con una sorpresa.

Una mujer no encontró palillos en casa después del almuerzo y decidió usar tijeras.

Y los prisioneros también tragan teléfonos celulares.

El hombre de 62 años se tragó monedas por valor de 650 dólares, así como varios collares y pulseras.

A prisoner in Pakistan swallowed an electric light bulb. Sin embargo, cuando los médicos lo quitaron, el hombre no estaba menos sorprendido que el personal médico.

En algunas áreas de China, la gente cree que comer seres vivos ayudará con la digestión. Un hombre chino ha estado haciendo esto durante 40 años, y todo está bien con su digestión.
Palabras clave: Salud y medicina | Hombre | Rayos x | Estómago | Estupidez
Publicar artículo de noticiasArtículos Recientes
Inmunidad a los venenos en todos los tiempos fue el sueño de toda autoridad. Lista de los papas, reyes y emperadores, entregó su ...
A veces, incluso las pequeñas cosas de menor importancia pueden hacerte enojar y arruinar tu estado de ánimo para el resto del ...
Artículos relacionados
Todos sabemos que caminar en frío extremo es peligroso, pero pocas personas saben lo que le sucede al cuerpo humano en estos momentos.
Sobre la piel debe ser tomada con cuidado, independientemente de la época del año. En el verano nos preocupamos acerca de los ...
Muchos están familiarizados con un fenómeno como las moscas frente a sus ojos. Estos son puntos fangosos flotantes y puntos de ...

El reino animal puede ser cruel y peligroso. Entonces, ¿qué deben hacer los animales pequeños y sin colmillos para protegerse a ...