The most creepy objects that have ever been found in a human stomach
Categories: Health and Medicine
By Pictolic https://mail.pictolic.com/article/the-most-creepy-objects-that-have-ever-been-found-in-a-human-stomach.htmlEveryone has heard and knows the terrible stories that a person can accidentally or even voluntarily swallow objects that are not intended for this at all. In most cases, these stories are told about children, but we will prove that adults have also made their contribution, and a considerable one.
Here are just a few examples of the things that have been found in the human stomach.


One woman in China swallowed 20 pieces of stones. Ask why? She had quarreled with her boyfriend, and it seemed to her the only sure way to end the evening.

Yes, swallowing silverware is an expensive pleasure. What about the 78 silver spoons that a 52-year-old woman swallowed in the Netherlands?

A man came to one of the Chinese hospitals with complaints of abdominal pain. Doctors took an X-ray and found a glass bottle in the stomach.

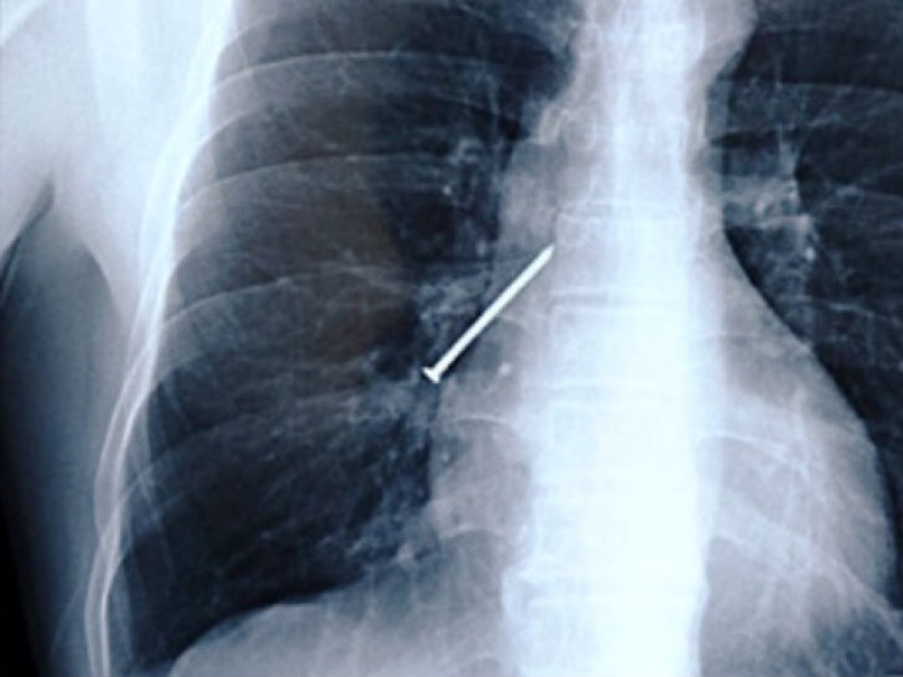
Have you ever held a nail in your teeth when your hands are busy with a hammer? Here is a picture of a man from China who coughed while working.

We warned you, do not look if you have just sat down to lunch. Once an 18-year-old girl had a lump of wool weighing 4.5 kg removed from her stomach.

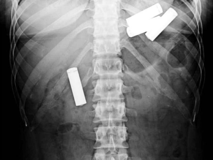
Here, perhaps, only children swallow batteries. X-ray of a 13-month-old baby.

Frenchman Michel Lotito became famous for eating inedible objects, he was even called Monsieur Eat Everything. His diet at one time included airplane wings, bicycles, supermarket carts, televisions and much more.

X-ray of the terrorist-he swallowed a grenade. However, it is unclear how he was going to blow it up…

One little boy ate one part of a toy with a magnet at a time. When at last all the parts of the toy were in the boy's stomach, they connected.

And this is the picture of a man who swallowed a considerable amount of drugs in order to smuggle them across the border.

Some prisoners are ready to swallow anything to get out of prison, for example, to the hospital — even the springs from the mattress.

Now you will not surprise anyone with a dish of eel. But not everyone is ready to eat it while it is still alive and moving.

Parents, pay more attention to your children. After all, they can swallow anything that comes to hand — even a safety pin.

Many men want to be romantic and make an offer to their half in some unusual way. And many people use, for example, food to hide a surprise in the form of a ring there. So, men, make an offer before your betrothed decides to try this dish with a surprise.

One woman did not find toothpicks at home after lunch and decided to use scissors.

And prisoners also swallow cell phones.

The 62-year-old man swallowed $ 650 worth of coins, as well as several necklaces and bracelets.

A prisoner in Pakistan swallowed an electric light bulb. However, when the doctors removed it, the man was no less shocked than the medical staff.

In some areas of China, people believe that eating living creatures will help with digestion. One Chinese man has been doing this for 40 years, and everything is fine with his digestion.
Keywords: Health and medicine | Man | X-ray | Stomach | Stupidity
Post News ArticleRecent articles
Most of us think that the color of the eggshell does not play any role and it is possible not to pay attention. But it's not and ...
The more we rely on technology, the more potential power hackers gain over us. It doesn't matter if their goal is to help or cause ...
Related articles
Yes, Pets benefit our health and it is proven by science. Their very existence certainly makes us happier, but also prolongs life. ...
Many are familiar with such a phenomenon as flies in front of their eyes. These are floating muddy spots and dots of different ...
For a person likely to get struck by lightning in any one year is a chance to 300 thousand. And although 90 percent of people ...

Creating a good portrait is one of the most difficult tasks for any photographer. In order to make a really natural and memorable ...