El peor de los artículos que han encontrado alguna vez en un estómago humano
Categorias: Salud y Medicina
Por Pictolic https://mail.pictolic.com/es/article/el-peor-de-los-artculos-que-han-encontrado-alguna-vez-en-un-estmago-humano.htmlTodos conocemos las historias de horror que la gente puede tragar accidentalmente o incluso de sus propios artículos que no están diseñados para ello. En la mayoría de los casos, estas historias hablan acerca de los niños, pero vamos a probar que los adultos han contribuido mucho.
Aquí son sólo algunos ejemplos de cosas que se han descubierto en el estómago humano.


Una mujer en China se ingiere 20 piezas de piedras. Preguntar por qué? Ella tuvo una pelea con su novio, y le parecía el único camino verdadero para terminar la noche.

Sí, tragar la platería es caro. Cómo sobre un 78 cucharas de plata, que se tragó una de 52 años de edad, la mujer en los países Bajos?

Uno de los hospitales Chinos, vino un hombre con quejas de dolor abdominal. Los médicos tomaron una radiografía y se encontró una botella de vidrio en el estómago.

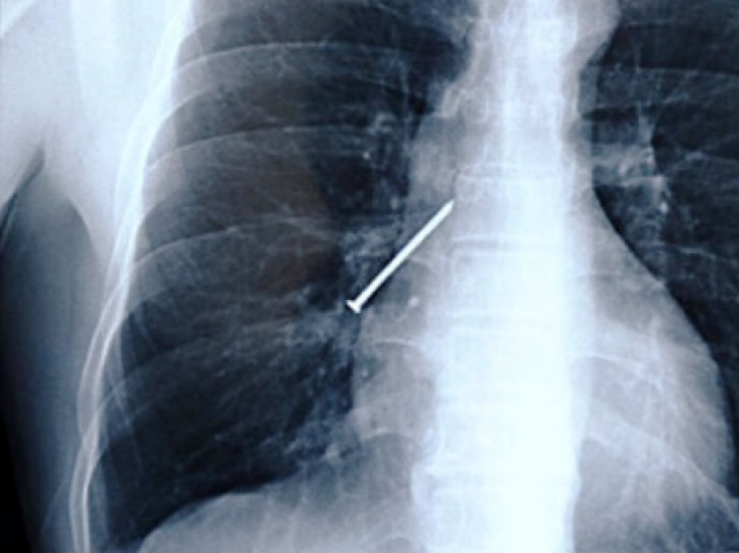
¿Alguna vez has ocupado en sus dientes un clavo cuando sus manos están ocupadas con un martillo? He aquí a los hombres de China, que durante la operación de la tos.

Nos advirtió que, de no mirar si simplemente se sentó a almorzar. Uno de 18 años de edad, niña fue retirado del estómago hairball con 4,5 kg.

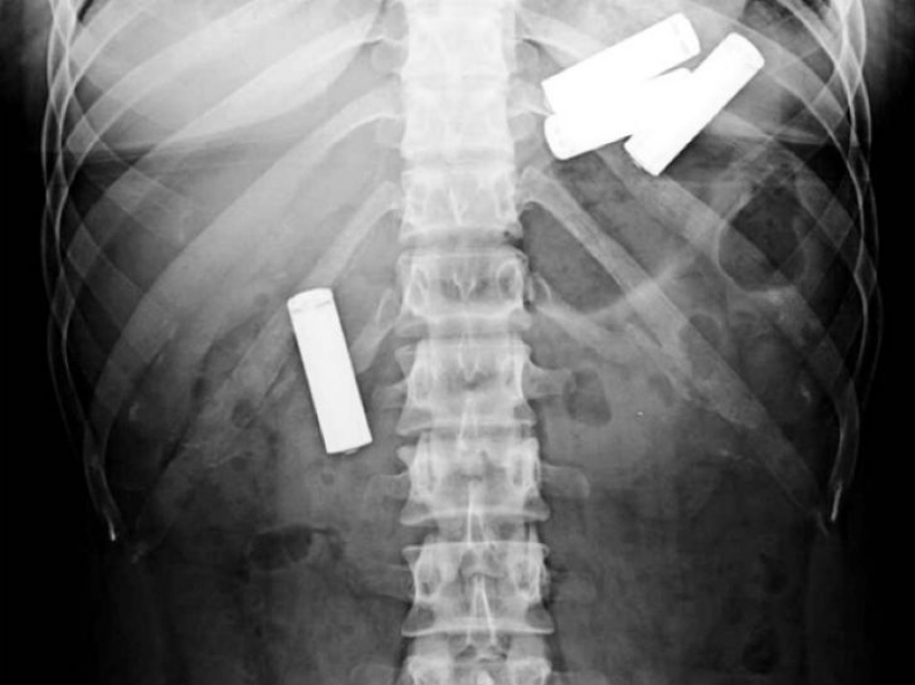
Aquí las baterías, tal vez son sólo niños. De rayos X de 13 meses de vida del bebé.

El Francés Michel Lotito era famoso por no comer productos comestibles, incluso fue llamado Monsieur Sherise. En su dieta en el momento en que incluyó las alas de los aviones, bicicletas, carritos de compras, la televisión, y muchas otras cosas.

De rayos X de un terrorista — se tragó una granada. Sin embargo, no está claro cómo iba a volar hacia arriba...

Un niño pequeño se comió un pedazo de juguete con el imán en un momento. Cuando finalmente todos los juguetes que estaban en el estómago del chico, se juntaron a una.

Y es que parece que el hombre que se tragó una gran cantidad de medicamentos para llevar a su contrabando a través de la frontera.

Algunos reclusos están dispuestos a tragarse cualquier cosa con tal de salir de la cárcel, por ejemplo, en el hospital, incluso los resortes del colchón.

Ahora va a sorprender a nadie con un plato de anguila. Pero no todo el mundo está listo para comer él, mientras que él todavía está vivo y en movimiento.

Los padres, mantener un ojo en sus hijos. Después de todo, puede tragar cualquier cosa que va a caer bajo el brazo, incluso un pin de seguridad.

Muchos hombres quieren ser romántico y proponer a su novia en cierta manera inusual. Y muchos utilizan, por ejemplo, ir a ocultar que hay una sorpresa en forma de un anillo. Así, los hombres, hacer una oferta antes de que su novio decide probar este plato con una sorpresa.

La mujer se encuentra en el hogar de palillos de dientes después de la cena y decidió utilizar un par de tijeras.

Y los presos de la ingestión de un teléfono celular.

62-años de edad, hombre traga monedas con un valor total de $ 650 y un par de collares y pulseras.

Quizás el más extraño e incluso desagradable incidente en nuestra colección — un hombre encontró feto parcialmente formado en el estómago.

Prisionero en Pakistán se ingiere una bombilla de luz. Sin embargo, cuando los médicos se la quitó, el hombre fue sorprendido como el personal.

En algunas zonas de China, la gente cree que comer seres vivos ayudará con la digestión. Un Chino estado haciendo esto por más de 40 años, y del aparato digestivo que tiene todo en orden.
Palabras clave: La estupidez | El estómago | El x-ray | El hombre
Publicar artículo de noticiasArtículos Recientes
Ya es hora de admitir que toda esta idea hipster ha ido demasiado lejos. El concepto se ha vuelto tan popular que incluso los ...
Hay una percepción de que las personas sólo utilizan el 10% de su cerebro potencial. Pero los héroes de nuestra revisión, al ...
Artículos relacionados
Tatuajes faciales hacen que sólo los más desesperados. Sin embargo, estas almas valientes están entre las celebridades: Justin ...
Las ballenas, tristemente, a veces en la orilla. Los científicos estiman que a lo largo del año, alrededor de 2000 personas de ...
Algunas personas lo hacen por lo que a veces parece que deliberadamente tratan de arruinar lo que ya no solicitado. Lo extraño, es ...

Año Nuevo es una época para sorprender y deleitar a los seres queridos, no solo con regalos, sino también con una presentación ...