The worst items that have ever found in a human stomach
Categories: Health and Medicine
By Pictolic https://mail.pictolic.com/article/the-worst-items-that-have-ever-found-in-a-human-stomach.htmlAll know the horror stories that people can swallow accidentally or even on their own items that are not designed for this. In most cases, these stories tell about the children, but we will prove that adults have contributed a lot.
Here are just a few examples of things that have been discovered in the human stomach.


One woman in China swallowed 20 pieces of stones. Ask why? She had a fight with her boyfriend, and it seemed to her the only true way to end the evening.

Yes, swallow the silverware is expensive. How about a 78 silver spoons, who swallowed a 52-year-old woman in the Netherlands?

One of the Chinese hospitals, a man came with complaints of abdominal pain. The doctors took an x-ray and found a glass bottle in the stomach.

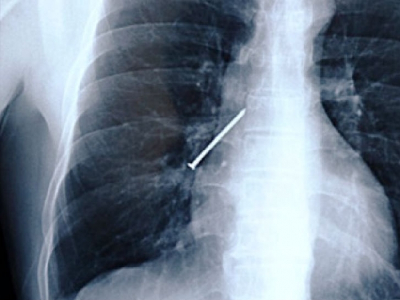
Have you ever held in his teeth a nail when your hands are busy with a hammer? Here's the men from China, which during operation coughed.

We warned you, don't look if you just sat down to lunch. One 18-year-old girl was removed from the stomach hairball weighing 4.5 kg.

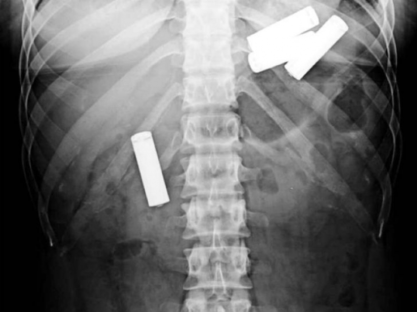
Here the batteries, perhaps theyíre only children. X-ray 13-month-old baby.

The Frenchman Michel Lotito was famous for eating non-edible items, it was even called Monsieur Sherise. In his diet at the time included the wings of the aircraft, bicycles, shopping carts, televisions, and many other things.

X-ray of a terrorist — he swallowed a grenade. However, it is unclear how he was going to blow it up...

One little boy ate one piece toy with magnet at a time. When finally all of the toys were in the stomach of the boy, they came together.

And it looks like the man who swallowed a considerable quantity of drugs to carry their contraband across the border.

Some inmates are willing to swallow anything just to get out of prison, for example, in the hospital — even the springs from the mattress.

Now you will surprise nobody with a dish of eel. But not everyone is ready to eat him while he's still alive and moving.

Parents, keep an eye on your children. After all, they can swallow anything they will fall under the arm, even a safety pin.

Many men want to be romantic and propose to your sweetheart in some unusual way. And many use, for example, go to hide there's a surprise in the form of a ring. So, men, make an offer before your betrothed decide to try this dish with a surprise.

Woman found at home of toothpicks after dinner and decided to use a pair of scissors.

And the prisoners swallowed a cell phone.

62-year-old man swallowed coins with a total value of $ 650 and a few necklaces and bracelets.

Perhaps the most strange and even unpleasant incident in our collection — a man found partially formed fetus in the stomach.

Prisoner in Pakistan swallowed a light bulb. However, when doctors removed it, the man was shocked as the staff.

In some areas of China, people believe that eating living creatures will help with digestion. One Chinese been doing this for over 40 years, and digestive he has everything in order.
Keywords: Stupidity | Stomach | X-ray | Man
Post News ArticleRecent articles
It's high time to admit that this whole hipster idea has gone too far. The concept has become so popular that even restaurants have ...
There is a perception that people only use 10% of their brain potential. But the heroes of our review, apparently, found a way to ...
Related articles
There are two types of people in the world: those who know how to park normally, and those who park like a complete idiot. ...
Face tattoos make only the most desperate. Nevertheless, these brave souls are among celebrities: Justin Bieber, Chris brown, ...
The story of a Spaniard who lives without a stomach, rectum, colon and gallbladder has become a motivating example for many. ...

New Year's is a time to surprise and delight loved ones not only with gifts but also with a unique presentation of the holiday ...