Verano de alfabetización: lo que se obtiene a partir de los artrópodos en un pie normal
Categorias: Salud y Medicina
Por Pictolic https://mail.pictolic.com/es/article/verano-de-alfabetizacin-lo-que-se-obtiene-a-partir-de-los-artrpodos-en-un-pie-normal.html"James, no toque el gato, vas a coger algo desagradable", es una frase que escuchamos regularmente. Pero con las salvedades relativas a la pequeña de vuelo y las criaturas que se arrastran en nuestras latitudes tienen que enfrentar con poca frecuencia. Estamos seguros de que la amenaza de enfermedades transmitidas por artrópodos — un montón de países cálidos, pero los médicos no lo creo. Le informaremos acerca de los cinco infecciones peligrosas que pueden recompensa nos doméstica que pican y chupan la sangre de las criaturas.

Por suerte, los mosquitos de forma condicional puede ser considerado seguro. Además de las ampollas que pican no hay problema que entregar no se puede. Teóricamente, en las regiones del sur, probablemente, la malaria, pero en los últimos años, gracias a la amplia adopción de medidas preventivas, tales casos son raros. Pero los ácaros pueden perjudicar seriamente la salud, y a veces incluso amenazar la vida.

Estas dos enfermedades son recompensados los ácaros. Sus síntomas son muy similares, pero el período de incubación es de aproximadamente dos semanas. Los síntomas aparecen de repente es un dolor de cabeza, fiebre, tos, náuseas, dolor abdominal e incluso, a veces, la confusión.
En algunos casos, a menudo con erlihioza en los niños, el cuerpo puede aparecer erupción cutánea con picor. La enfermedad es difícil, pero, afortunadamente, casi siempre termina en la recuperación completa. Sigue siendo buena en estas infecciones, un poco como una condición dolorosa permanentemente inquietante, y medicamentos para el tratamiento es bastante caro.

Otro de los agentes patógenos que se transmiten a los humanos por la picadura de garrapatas. La etapa inicial de la enfermedad es muy similar a los de la gripe, pero, a continuación, el aumento de los síntomas como una bola de nieve — no es un dolor en las articulaciones, dolores punzantes en las extremidades, alteraciones del ritmo cardiaco y la parálisis de la cara.
Para distinguir la enfermedad de Lyme de SARS se puede erupción de color rojo en forma de puntos dispuestos en un círculo. Esta infección es insidioso y si se deja sin tratamiento, puede conducir a la inflamación del cerebro o de la médula espinal. Las consecuencias de este tipo de complicaciones, como una regla, muy triste. La persona puede permanecer incapacitado e incluso de morir.

A la tularemia puede también ser de los ácaros, no sólo a un campo o bosque, pero también de aquellos que viven en los perros y los gatos. A veces llevan pulgas, y rara vez las moscas. En el sitio de la picadura, donde la infección ha entrado en el cuerpo, no hay úlcera. Más tarde, fiebre y ganglios linfáticos agrandados, comienza la sudoración y debilidad severa.
La Tularemia puede ir en la forma pulmonar y causar neumonía. Esta es la más severa de curso de la enfermedad, que puede ser complicado por el absceso pulmonar. Descuidado, la enfermedad pone en peligro no sólo la salud sino también la vida humana. Afortunadamente, la medicina moderna es rápido para hacer frente a esta enfermedad, por supuesto, si el paciente se aplica en el tiempo.

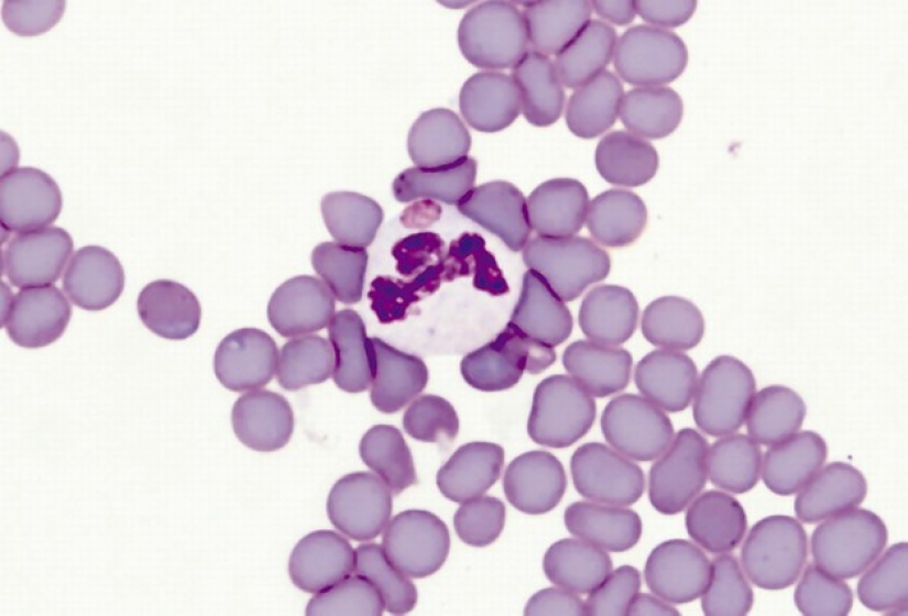
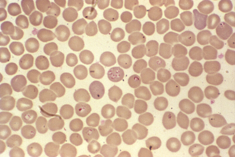
La Babesiosis es una infección de los glóbulos rojos de nuestra sangre. Los vectores de la enfermedad — pasto ácaros, y el intermedio "maestros" de los microorganismos pueden ser ganado y perros. El peligro de esta enfermedad es que tiene un efecto destructivo en las células rojas de la sangre, pero puede no presentar síntomas evidentes.
Descuidado la babesiosis puede manifestarse como ictericia, acompañada de fiebre. Especialmente peligrosa enfermedad, ya que puede causar anemia hemolítica, una condición peligrosa para la vida humana.

El título de esta infección es cada vez más claro que la culpa de nuevo la abrazadera. La enfermedad es muy similar a los de la gripe, pero es mucho más pesado. El nombre de "recurrente" sugiere que los síntomas pueden desaparecer y entonces, de repente, volver y así infinidad de veces.
A menudo portadores de bacterias de este tipo de garrapatas, no se quede en el sitio de la mordedura. Beben sangre y sin ataduras del cuerpo para ignorar esta amenaza de ataque no es fácil. Pero si un par de días después de un verano caminata en el bosque o en el campo de la temperatura de la rosa, comenzó secreción nasal, tos y dolor de las articulaciones, es mejor ir al hospital y hacerse la prueba. El tratamiento oportuno rápidamente la erradicación de esta infección.
A veces, para tratar con el pequeño vectores no necesita ir muy lejos — podían llevarnos a casa y, además, directamente en la cama.
Palabras clave: La enfermedad | Los médicos | La infección | Los ácaros | El bosque | El peligro | El campo | Los síntomas
Publicar artículo de noticiasArtículos Recientes
Ya es hora de admitir que toda esta idea hipster ha ido demasiado lejos. El concepto se ha vuelto tan popular que incluso los ...
Hay una percepción de que las personas sólo utilizan el 10% de su cerebro potencial. Pero los héroes de nuestra revisión, al ...
Artículos relacionados
Según la oms, a causa de enfermedades relacionadas con el Tabaquismo, cada ocho segundos muere una persona. El número de muertes ...
Todos sabemos que las alergias pueden ser perros, gatos, el chocolate, los cítricos y el polen. Pero las cosas que pueden causar ...
Hace relativamente poco tiempo, el mundo comenzó a aprender acerca de la diversidad de género. Empezó a hablar sobre un montón ...

Año Nuevo es una época para sorprender y deleitar a los seres queridos, no solo con regalos, sino también con una presentación ...