Los objetos más increíbles que se han encontrado en el cuerpo humano
Categorias: Salud y Medicina
Por Pictolic https://mail.pictolic.com/es/article/los-objetos-ms-increbles-que-se-han-encontrado-en-el-cuerpo-humano1.htmlSi no te sientes bien con la dona que comiste en el almuerzo, relájate, puede empeorar ... Al menos no te comiste las pilas, y, por cierto, algunas personas logran tragarlas. Tal vez, por supuesto, sean bajos en calorías, pero es poco probable que brinden beneficios especiales al cuerpo. Y si crees que picar pilas es raro, te sorprenderás aún más, porque este número está dedicado a objetos que se han encontrado en cuerpos humanos. Y las baterías parecerán deliciosas en comparación. (Aunque, por supuesto, vale la pena señalar que algunos de los elementos de este número no ingresaron al cuerpo a través de la boca).

Cuchara.
Bala.
Anillo de bodas.
monedas
Imanes.
Guijarro.
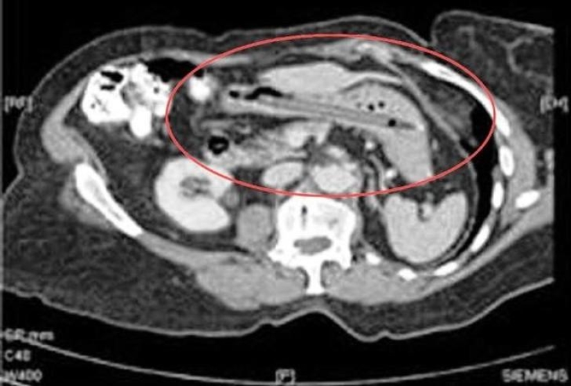
Llave.
Bolígrafo.
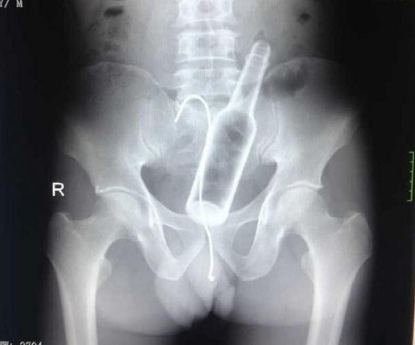
Botella.
Clavo.
Ranas vivas.
Cuchillería.
¡Y aquí están las pilas!
Granada.
Bulbo.
Tenedor.
Enorme ovillo de lana.
Embrión gemelo.
Muelles de cama.
Teléfono móvil.
Hélice de avión.
Pinzas.
metanfetaminas
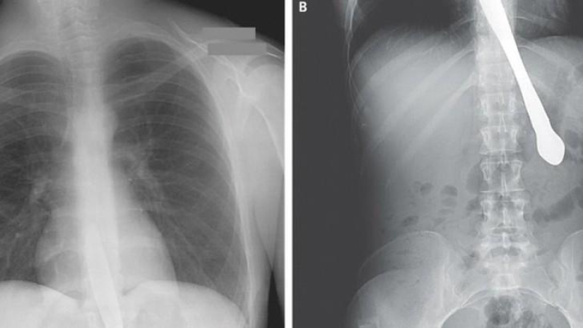
Tijeras.
Anguila viva.
Artículos Recientes
Ya es hora de admitir que toda esta idea hipster ha ido demasiado lejos. El concepto se ha vuelto tan popular que incluso los ...
Hay una percepción de que las personas sólo utilizan el 10% de su cerebro potencial. Pero los héroes de nuestra revisión, al ...

Año Nuevo es una época para sorprender y deleitar a los seres queridos, no solo con regalos, sino también con una presentación ...