Los objetos más increíbles que se han encontrado en el cuerpo humano
Categorias: Salud y Medicina
Por Pictolic https://mail.pictolic.com/es/article/los-objetos-ms-increbles-que-se-han-encontrado-en-el-cuerpo-humano.htmlSi te sientes incómodo con la rosquilla que comiste para el almuerzo, relájate, puede ser peor, al menos no te comiste las baterías, y, por cierto, algunas personas también se las arreglan para tragarlas. Tal vez, por supuesto, son bajos en calorías, pero es poco probable que aporten beneficios especiales al cuerpo. Y si piensas que comer con pilas es extraño, entonces te sorprenderás aún más, porque este número está dedicado a objetos que se encontraron en cuerpos humanos. Y las baterías parecerán deliciosas en comparación con ellas. (Aunque, por supuesto, vale la pena señalar que algunos elementos de este problema no entraron en el cuerpo a través de la boca en absoluto.)


1. Cuchara.

2. Bala.

3. Anillo de bodas.

4. Moneda.

5. Magneto.

6. Guijarro.

7. Clave.

8. Manejar.

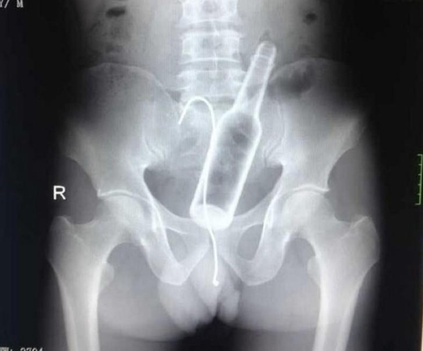
9. Botella.

10. Uña.

11. Ranas vivas.

12. Cubiertos.

13. Y aquí están las pilas!

14. Granada.

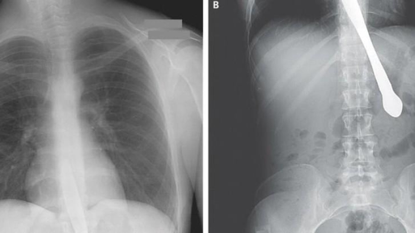
15. Bombilla.

16. Tenedor.

17. Una enorme bola de lana.

18. El embrión gemelo.

19. Resortes de la cama.

20. Teléfono móvil.

21. La hélice del avión.

22. Pinzas quirúrgicas.

23. Metanfetaminas.

24. Tijera.

25. Anguila viva.
Palabras clave: Increíble | Rayos X | Cuerpo
Publicar artículo de noticiasArtículos Recientes
El éxito de las compras en Oriente depende de lo bien que se pueda negociar. Y este es un tipo de arte que ha evolucionado a lo ...
El rápido inicio del frío en todos los frentes y ahora todos los que nos rodean se envuelven en ropa abrigada. Por desgracia, ...
Artículos relacionados
Increíbles imágenes de introducir a los más inesperados manifestaciones de nuestro maravilloso mundo. Como cursi que pueda ...
Bienvenido al maravilloso y diverso mundo de las plantas suculentas! Estas plantas ornamentales vienen en muchas formas diferentes ...
Las caderas anchas siempre han sido un signo de feminidad y sexualidad. Kim Kardashian explotó Instagram con un caliente "belfi" ...

Por supuesto, lo que vemos en la pantalla es muy diferente de cómo se rodó la película. Y no sólo se trata de aplicar efectos ...