35 fotos divertidas y divertidas para que tu día sea un poco mejor
Categorias: Positiva
Por Pictolic https://mail.pictolic.com/es/article/35-fotos-divertidas-y-divertidas-para-que-tu-da-sea-un-poco-mejor.htmlPositivo, alegría, felicidad, satisfacción, calma: estas palabras deben incluirse en el libro rojo, porque hoy solo se pueden escuchar durante frases de ensueño. Pero tenemos un rincón acogedor para usted, donde siempre puede tomar un respiro, viendo una variedad de entretenidas diversiones. Hoy no es una excepción, porque hemos recopilado de nuevo 35 fotos divertidas y divertidas para que tu día sea un poco mejor.


Rastas directamente en el vidrio

"La última cena "del elenco de la serie de televisión" Amigos " antes del rodaje del episodio más reciente, 23 de enero de 2004

Y se lavó, y dio un paseo

La amistad fracasó

Bueno, muy sexy

¿Qué está pasando aquí?

Un modelo de computadora que muestra cómo podría ser un Julio César de 45 años hoy en día

Estos niños en África están estudiando sin escritorios, sillas y electricidad en 2020

Quizás el más dulce de todos los que hemos visto

Una familia de gorilas está estudiando a un gorila animatrónico enviado para vigilarlos

Trabajar con metal caliente

Asustado

Traje de buceo para perro salchicha

Intento fallido de entrar al estudio de tatuajes. Al parecer, me excedí un poco con el espíritu de lucha

Los panqueques están fritos

Mi madre será feliz

El humo de la fábrica parece un caballero con una espada

Su pierna.. o no

Una mujer fuerte y de negocios con hermosas piernas

Fotografía coloreada de Charlie Chaplin y la bailarina rusa Anna Pavlova, 1922

El recubrimiento cambia de color dependiendo de lo que está sucediendo delante de él

Aburrir

¿Qué significa ser papá

¿Alguna vez has visto una fila cuadrada de dientes?

Trabajador, estás borracho, vete a casa

Dibujo en la nieve

Hombres cuya esposa no busca ir de compras

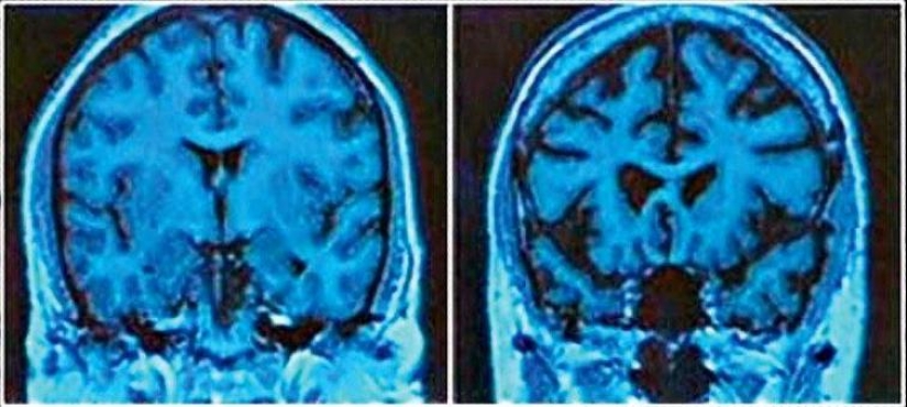
A la izquierda está el cerebro normal de un hombre de 43 años, a la derecha está el cerebro de un alcohólico de 43 años

Aparentemente, llevaba una máscara

Cuando dejé el coche con las ventanas abiertas en la nevada

¿Qué pasa si solo haces pasar esta construcción a través de la luz

"Entonces, ¿para qué necesitas mi caca?"

Marilyn Monroe sin maquillaje, 1955

En el mundo de los shorties, no hay lugar para los altos

El Verdadero Hombre Araña
Artículos Recientes
Ya es hora de admitir que toda esta idea hipster ha ido demasiado lejos. El concepto se ha vuelto tan popular que incluso los ...
Hay una percepción de que las personas sólo utilizan el 10% de su cerebro potencial. Pero los héroes de nuestra revisión, al ...

Año Nuevo es una época para sorprender y deleitar a los seres queridos, no solo con regalos, sino también con una presentación ...