14 cosas que la naturaleza no puede mostrar, pero una radiografía puede mostrar
Categorias: Animales | Mundo | Personas | Producción | Proyecto fotográfico | Sociedad | Tecnología
Por Vika https://mail.pictolic.com/es/article/14-cosas-que-la-naturaleza-no-puede-mostrar-pero-una-radiografa-puede-mostrar.htmlLos personajes de nuestra selección miraron cosas ordinarias desde ángulos inusuales utilizando equipos de resonancia magnética. Compartieron sus hallazgos en línea y algunos se enteraron de que sus dientes de leche todavía estaban allí, mientras que otros vieron el interior de la pitón. Algunas de estas fotografías nos sorprenden tanto que parecen haber sido tomadas con un programa informático de alta tecnología.
Pictolic se topó con las radiografías y las resonancias magnéticas de los usuarios y se dio cuenta de que todavía tenemos mucho que aprender sobre el mundo.
14 FOTOS

1. “Así es como se hace una radiografía de un loro. El pájaro está vivo y bien. El procedimiento fue realizado por un veterinario y estuvimos allí para ayudar a mantener a nuestra mascota”.

2. “Aparentemente, hay un niño pequeño en el cerebro de mi hijo. Y no es photoshop.

3. "Así que mi paciente no me dejaría hacerle una radiografía si NO ME PROMETO hacerle una radiografía a su poni después de..."

4. "El otro día logré sacarme una radiografía del casco".

5. “Tuvimos que tomar una radiografía de nuestra pitón. Pensé que sería interesante compartirlo".

6. Lámpara LED de rayos X.

7. "Me tomaron una radiografía de la perforación".

8. "Hicimos una hermosa tarjeta de Halloween".

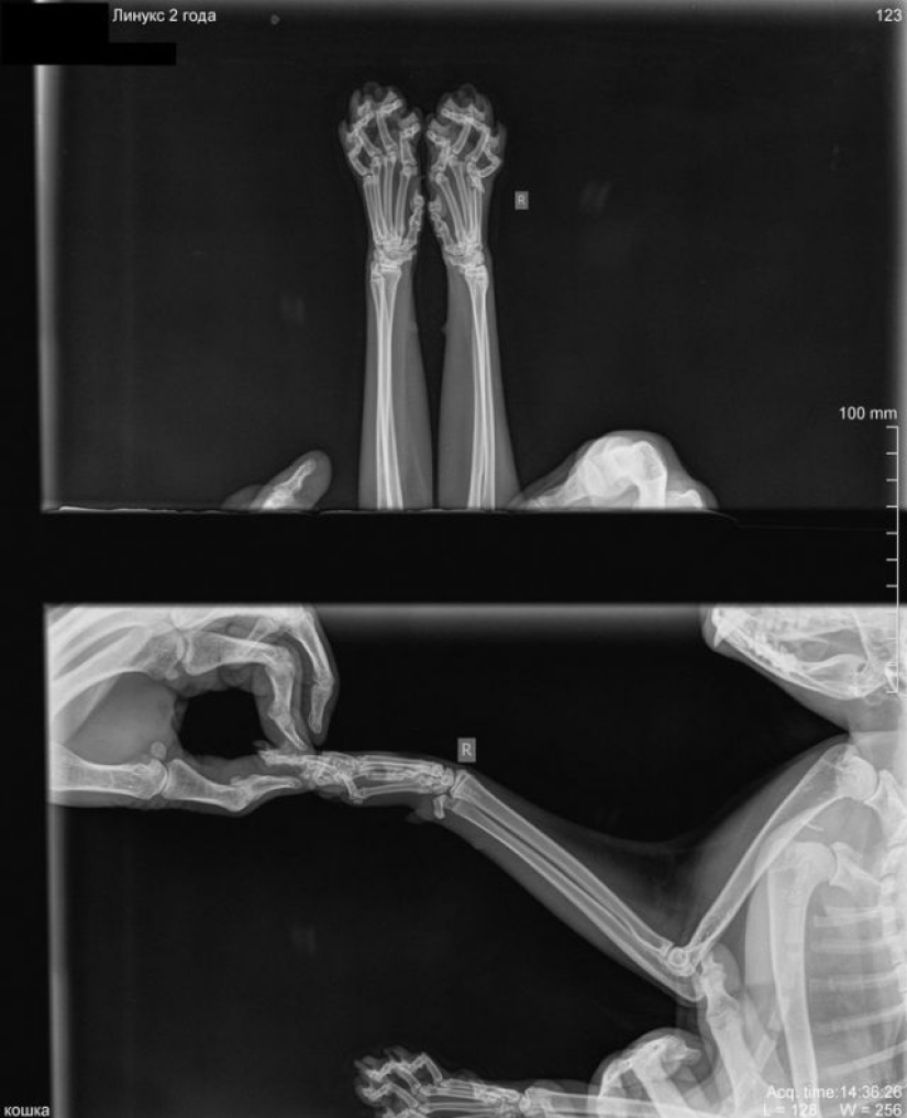
9. Así es como se ve un gato translúcido:

10. "Triple piercing en la lengua en mi radiografía".

11. “En este momento, el hada de los dientes me debe mucho dinero. Tengo 33 años y aquí están mis radiografías que muestran los dientes de leche que me quedan”.

12. Radiografía de una peonía de coral hawaiano rosa.

13. "Radiografía del vientre embarazado de mi perra: podemos contar 5 cachorros".

14. "Mi primera radiografía el segundo día en la escuela de radiología".
Palabras clave: Naturaleza | Selección | Animales | Personas | Cosas ordinarias | Equipo de resonancia magnética | Fotografías | Programa de computadora | Rayos X.
Publicar artículo de noticiasArtículos Recientes
Ya es hora de admitir que toda esta idea hipster ha ido demasiado lejos. El concepto se ha vuelto tan popular que incluso los ...
Hay una percepción de que las personas sólo utilizan el 10% de su cerebro potencial. Pero los héroes de nuestra revisión, al ...
Artículos relacionados
Bajo el lema "saber a todo el mundo" la gente estaba escrito en el pavimento (y no sólo) lo que dice el corazón. Y a veces ...
La edad de la cría "mejoras" de las razas puras ha convertido a los perros una vez sanos en animales deformes. Existe la opinión ...
La naturaleza es infinitamente creativo, pero a veces ella es tan parecido a su propia creación, ella decide repetir a sus hijos. ...

Año Nuevo es una época para sorprender y deleitar a los seres queridos, no solo con regalos, sino también con una presentación ...