The most incredible objects that have been found in the human body
Categories: Health and Medicine
By Pictolic https://mail.pictolic.com/article/the-most-incredible-objects-that-have-been-found-in-the-human-body.htmlIf you are uncomfortable with the doughnut that you ate for lunch, relax — it can be worse… At least you didn't eat the batteries—and, by the way, some people manage to swallow them, too. Maybe, of course, they are low-calorie, but they are unlikely to bring special benefits to the body. And if you think that snacking on batteries is strange, then you will be even more surprised, because this issue is dedicated to objects that were found in human bodies. And the batteries will seem yummy in comparison with them. (Although, of course, it is worth noting that some items from this issue did not get inside the body through the mouth at all.)


1. Spoon.

2. The bullet.

3. Wedding ring.

4. Coins.

5. Magnets.

6. Pebbles.

7. The key.

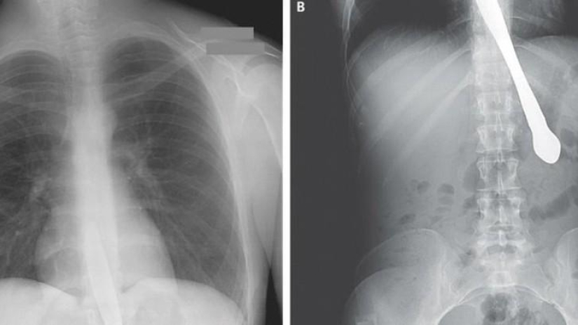
8. Handle.

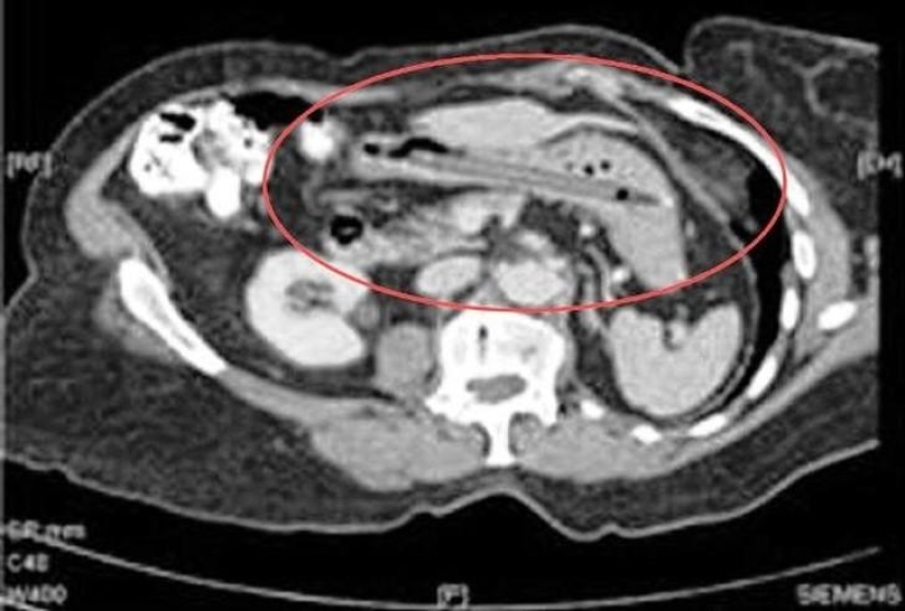
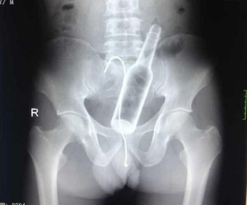
9. Bottle.

10. The nail.

11. Live frogs.

12. Cutlery.

13. And here are the batteries!

14. Grenade.

15. Light bulb.

16. Fork.

17. A huge ball of wool.

18. The twin embryo.

19. Springs from the bed.

20. Mobile phone.

21. The propeller from the plane.

22. Surgical forceps.

23. Methamphetamines.

24. Scissors.

25. Live eel.
Keywords: Unbelievable | X-ray | Body
Post News ArticleRecent articles
The success of shopping in the East depends on how well you can bargain. And this is a kind of art that has evolved over ...
The rapid onset of cold weather on all fronts, and now everyone around is wrapping themselves in warm clothes. Alas, someone is ...
Related articles
Wide hips have always been a sign of femininity and sexuality. Kim Kardashian blew up Instagram with a hot "belfi" in a swimsuit in ...
In pre-Christian times in Russia, nudity was treated as calmly as in ancient Hellas. A beautiful, healthy naked body was considered ...
We are 100% sure that the tights are Nude invented by the same people who invented the first machine for torture. Don't believe? ...

Of course what we see on screen is very different from how the film was shot. And it's not only about applying special effects, but ...