14 Things Nature Can't Show, But An X-Ray Can Show
Categories: Animals | People | Photo project | Production | Society | Technology | World
By Vika https://mail.pictolic.com/article/14-things-nature-cant-show-but-an-x-ray-can-show.htmlThe characters in our selection looked at ordinary things from unusual angles using MRI equipment. They shared their findings online, and some of them learned that their baby teeth were still there, while others saw the inside of the python. Some of these photographs surprise us so much that they seem to have been taken with a high-tech computer program.
Pictolic stumbled upon users' X-rays and MRIs and realized that we still have a lot to learn about the world.
14 PHOTOS

1. “This is how a parrot is x-rayed. The bird is alive and well. The procedure was done by a veterinarian and we were there to help keep our pet.”

2. “Apparently, there is a little boy in my son’s brain. And it's not photoshop.

3. "So my patient wouldn't let me x-ray her if I DO NOT PROMISE to x-ray her pony after..."

4. "The other day I managed to take an x-ray of my helmet."

5. “We had to x-ray our python. Thought it would be interesting to share."

6. X-ray LED lamp.

7. "My piercing is x-rayed."

8. "We made a beautiful Halloween card."

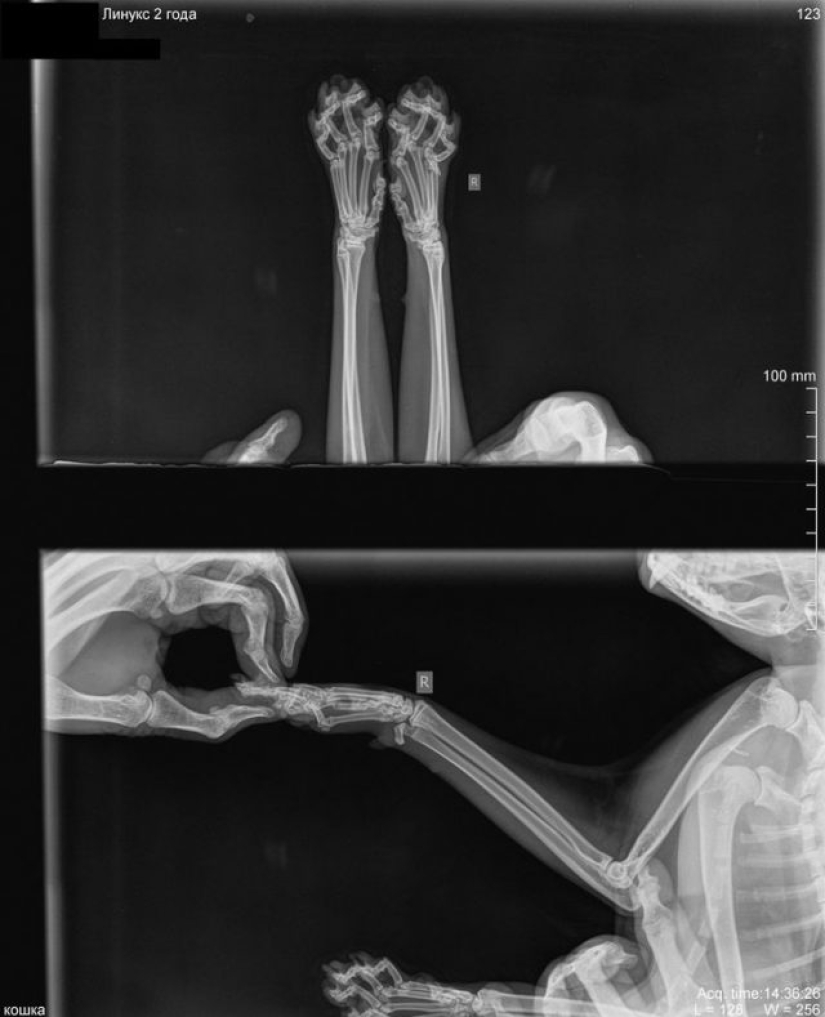
9. This is what a translucent cat looks like:

10. "Triple tongue piercing on my x-ray."

11. “At the moment the tooth fairy owes me a lot of money. I am 33 years old and here are my x-rays showing my remaining baby teeth.”

12. X-ray of a pink Hawaiian coral peony.

13. "X-ray of my dog's pregnant belly - we can count 5 puppies."

14. "My first x-ray on the second day at radiology school."
Keywords: Nature | Selection | Animals | People | Ordinary things | MRI equipment | Photographs | Computer program | X-Ray
Post News ArticleRecent articles
It's high time to admit that this whole hipster idea has gone too far. The concept has become so popular that even restaurants have ...
There is a perception that people only use 10% of their brain potential. But the heroes of our review, apparently, found a way to ...
Related articles
There is a perception that people only use 10% of their brain potential. But the heroes of our review, apparently, found a way to ...
Under the motto "let everyone know" people were writing on the pavement (and not only) what it tells the heart. And sometimes it ...
These artists love cats, but also masterfully draw them, often complementing funny and life signatures. Meet! --> Russian ...

New Year's is a time to surprise and delight loved ones not only with gifts but also with a unique presentation of the holiday ...